近日,医学院眼科研究所李炜教授课题组的研究论文“Hyperlipidemia induces meibomian gland dysfunction”在眼科学权威杂志The Ocular Surface上在线发表。The Ocular Surface是世界眼表面疾病领域最顶级杂志,最新影响因子为9.108。该论文首次证明了高脂血症可以导致小鼠睑板腺功能障碍(MGD),并阐述了PPAR-γ信号通路在其中发挥至关重要的作用。

干眼是目前眼科最常见的疾病。有流行病学调查发现,60%以上的干眼患者存在睑板腺功能障碍(meibomian gland dysfunction, MGD),MGD已经成为干眼最主要的原因,但MGD发生的病理生理过程还没有阐明,临床上针对MGD的治疗非常棘手。睑板腺作为泪液脂质成分最重要的来源,它的正常功能与全身脂质代谢的关系逐渐受到大家的关注。高脂血症是动脉粥样硬化、高血压、冠心病、糖尿病等疾病的重要危险因素,但高脂血症与MGD的相关性目前仍不清楚。

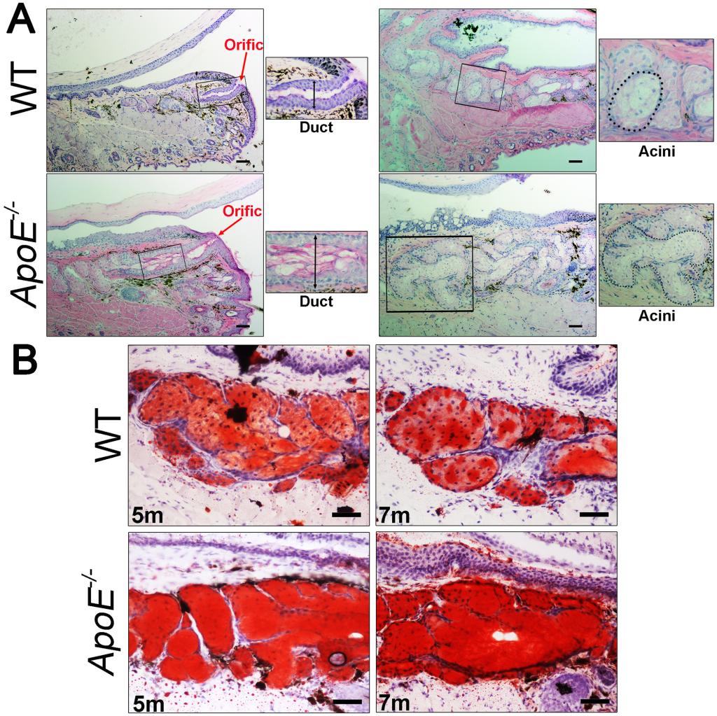
李炜教授课题组使用载脂蛋白E基因敲除(ApoE-/-)小鼠作为高脂血症的模型,发现随着年龄的增长,ApoE-/-小鼠睑板腺出现明显的MGD表现。同时,该研究还发现高脂血症小鼠睑板腺周围微环境存在慢性炎症反应,睑板腺腺泡细胞的PPAR-γ信号通路受到明显抑制,给ApoE-/-小鼠使用PPAR-γ激动剂可以明显减轻MGD表现,同时睑板腺周围微环境的炎症反应也受到控制。该研究首次证实脂质代谢在MGD病理生理过程中的作用,首次证实MGD是一种慢性炎症性疾病,为发展MGD的创新性治疗打开了新的思路。

医学院眼科研究所2015级博士研究生卜敬华和吴漾为该论文共同第一作者,李炜教授为通讯作者。该论文获得了国家重点研发计划项目和国家自然科学基金项目的资助。李炜教授团队长期从事眼表与角膜疾病研究,近年来围绕角膜上皮干细胞、睑板腺及泪腺疾病的发病机制与治疗开展了系统性、原创性的研究工作,研究成果发表于Ocular Surface、J Biol Chem、Invest Ophthalmol Vis Sci、Exp Mol Med、Exp Eye Res等知名国际期刊。
论文链接:https://www.sciencedirect.com/science/article/abs/pii/S1542012419301181
(医学院眼科研究所 吴涵)
责任编辑:黄伟彬